Hepatocellular Carcinoma

  • Liver cancer ranks as the 6th most common cancer and 3rd leading cause of cancer-related death worldwide

  • Hepatocellular carcinoma represents 75-85% of all liver cancer cases wordwide.

  • 5-year survival rates in the U.S. have risen from 3% (1975-1977) to 22% (2014-2020)

Worldwide Epidemiology of Liver Cancer in 2018

Where Y90 Fits Diagnosis

Y90 is suited for liver-dominant disease, especially:

  • BCLC A tumors not amenable to ablation

  • BCLC B intermediate tumors

  • Select BCLC C patients with portal vein thrombosis

Historical Evolution of Y90

1960s - 1990s

  • In 1951, Bierman et al demonstrated angiographically that liver tumors received their blood supply from the hepatic artery and not the portal vein.

  • 1967, Ariel & Pack perform first Y90 administration in four patients

2000s - Present

1999: TheraSphere granted a humanitarian device exemption for use in patients with unresectable HCC.

2016: SIR-Spheres approved for the treatment of unresectable metastatic liver tumors from primary colorectal cancer with adjuvant intrahepatic artery chemotherapy.

2025: SIR-Spheres for the treatment of unresectable hepatocellular carcinoma (HCC) following the DOORwaY-90 study

Establishing TARE in the HCC Algorithm

SARAH Trial

  • Phase III, open-label, randomized controlled trial

  • \(^{90}\)Y Resin Microspheres vs. Sorafenib for advanced HCC (BCLC C)

  • No significant difference in overall survival (8.0 months for Y90 vs. 9.9 months for sorafenib)

  • Radioembolization associated with fewer adverse events and better quality of life

SIRveNIB Trial

  • Phase III, open-label, randomized controlled trial

  • \(^{90}\)Y Resin Microspheres vs. Sorafenib for advanced HCC (BCLC B or C) in the Asia-Pacific

  • No significant difference in overall survival (8.8 months for Y90 vs. 10.0 months for sorafenib)

  • Radioembolization showed significantly fewer grade 3 adverse fewer adverse events (27.7% vs. 50.6%)

DOSISPHERE-01 Trial

  • Phase III, open-label, randomized controlled trial

  • Personalized Dosimetry (≥205 Gy target) vs. Standard Dosimetry (∼120 Gy target)

  • Personalized dosimetry showed higher median overall survival (26.6 months for vs. 10.7 months)

  • Also showed higher tumor responses response rates (71% vs. 36%) and increased rates of downstaging to surgical treatments (35% vs. 3.5%)

TRACE Trial

  • Y90 Radioembolization vs. Drug-Eluting Bead Chemoembolization (DEB-TACE)

  • The trial was stopped early because the primary endpoint (TTP) was met in favor of Y90

  • Y90 TARE showed superior median overall (30.2 months vs. 15.6 months)

Modern Y90 Concepts

Radiation Segmentectomy

Superselective infusion of a very high dose (> 400 Gy)

Evidence:

  • LEGACY trial: ORR 90%, median OS ~45 months

Pearls:

  • Identify variant anatomy (parasitizing supply, accessory/replaced vessels)
  • Different segments are associated with different post-embolization complications

Radiation Lobectomy

Lobar dose to induce hypertrophy of the contralateral lobe

Alternative to portal vein embolization

Provides tumor control while waiting for future liver remnant (FLR) growth

Personalized Dosimetry

Old model: everyone gets the same dose

Modern model

  • 99mTc-MAA SPECT/CT

  • Voxel- or partition-based dosimetry

  • Targeted dose delivery

Evidence

  • DOSISPHERE-01: OS 10.7 → 26.6 mo

Clinical Workflow

Patient Selection

Patient Selection

Patient Selection

  • Child-Pugh A and early B

  • Liver-dominant disease

  • Assess vascular anatomy and shunting

  • Multidisciplinary input with hepatology and surgery

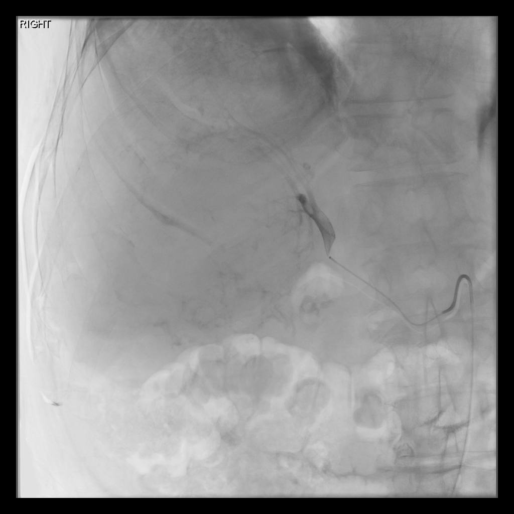
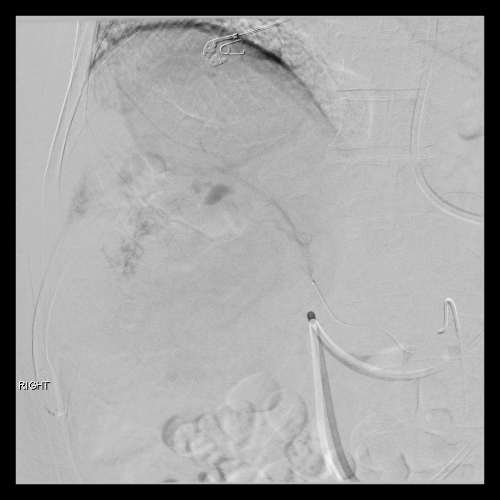
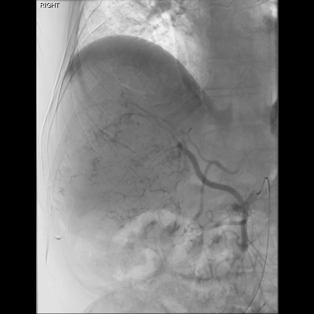
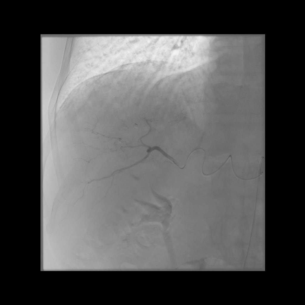
Mapping Angiogram

Comprehensive vascular mapping with CBCT to identify tumor supply and prevent extrahepatic deposition.

  • Selective catherization

  • Identify variant hepatic arterial anatomy

  • Coil embolization of gastroduodenal or right gastric artery

  • MAA injection to estimate lung shunt and dosimetry

MAA SPECT/CT Scan

MAA SPECT/CT Scan

Treatment Day

  • Selective catheterization

  • Deliver microspheres slowly under fluoroscopy

  • Post-treatment SPECT or PET imaging

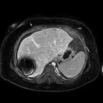
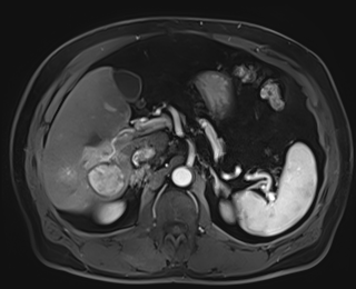
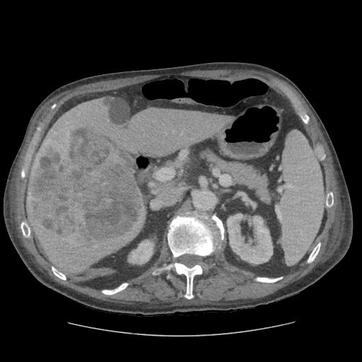
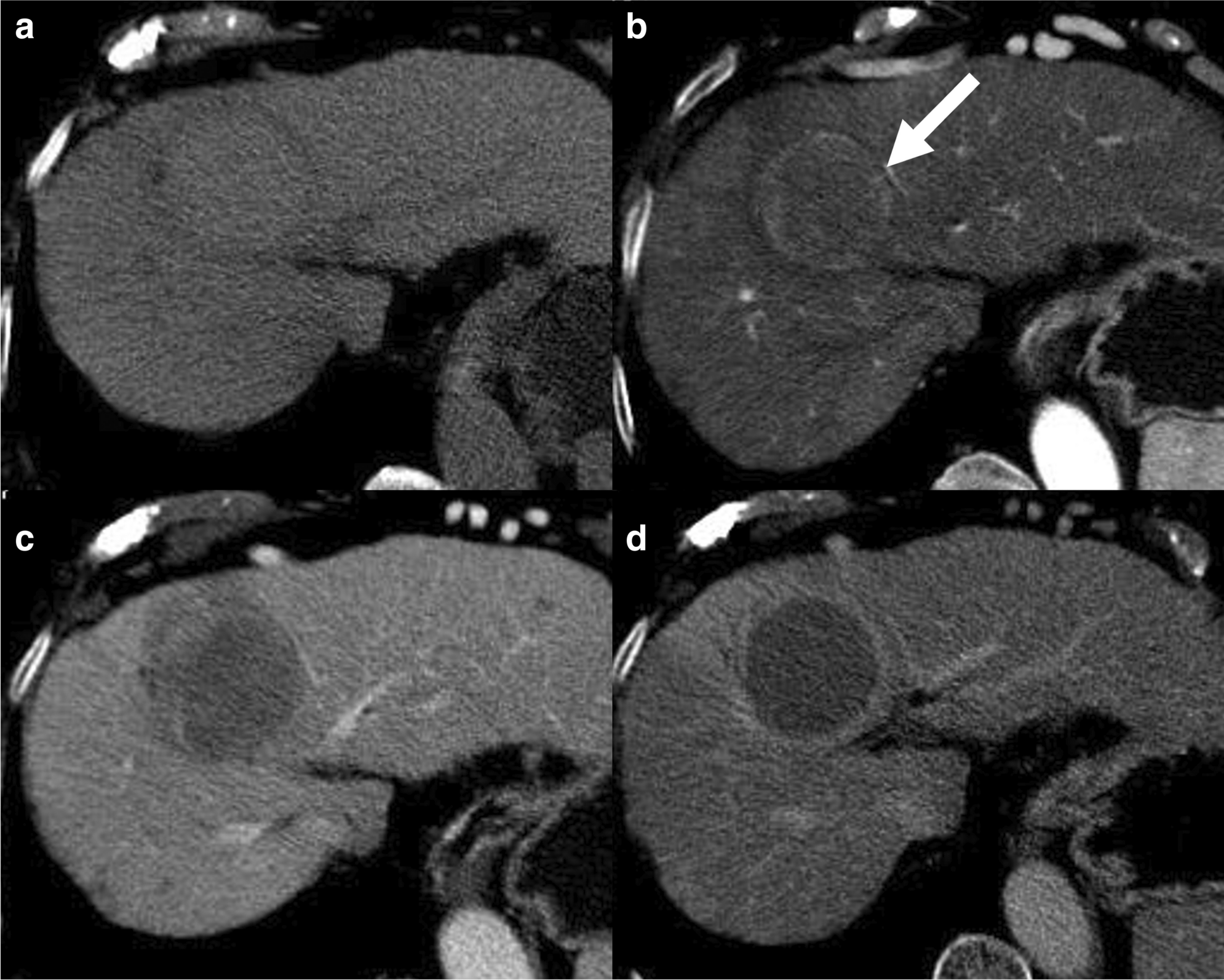
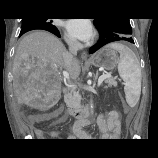
Case 1

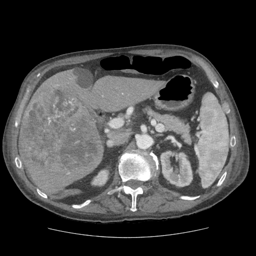
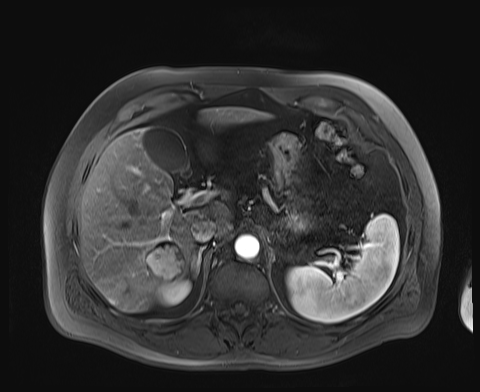
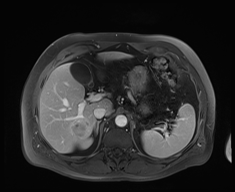
79 M with PMH of CKD, HLD, prostate cancer s/p prostatectomy + radiation presenting with feelings of fogginess, upset stomach, and diarrhea. Originally worked up at OSH, imaging concerning for a hepatic mass.

148/77 mmHg / 95 bpm / 15 breaths/min / 98.1°F / 98 ORA

sclera anicteric, no jaundice

AST 112, ALT 34, Alk Phos 202, CEA 2, CA 19-9 4

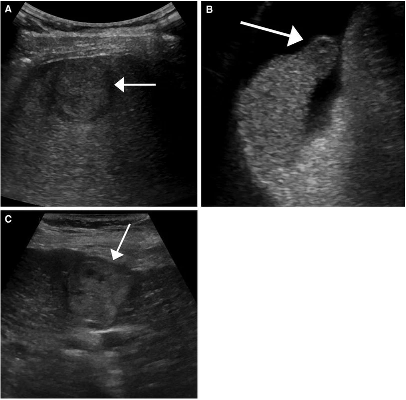
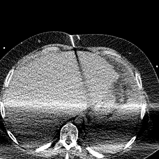
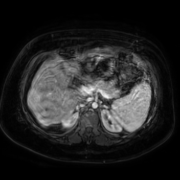
Case 2

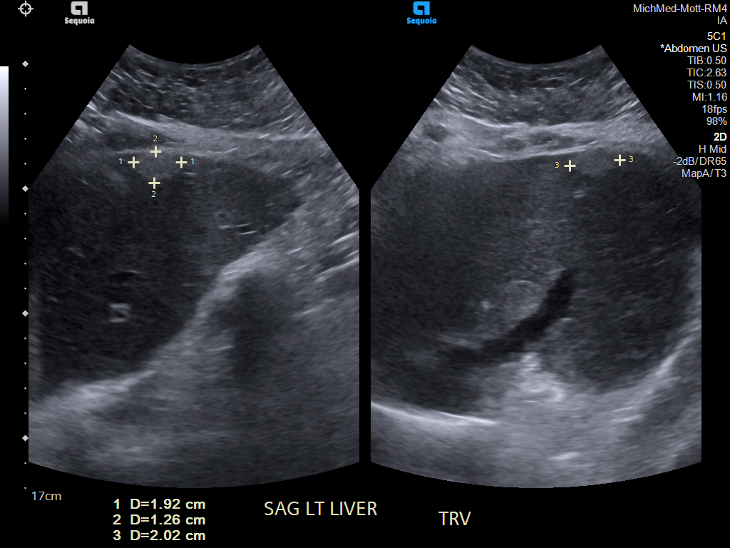
69 M with PMH of HCV cirrhosis & HCC s/p resection in 14 years ago presenting today for a screening ultrasound.

135/73 mmHg / 78 bpm / 16 breaths/min / 96.4°F

sclerae anicteric, no jaundice

CMP wnl, AFP 5

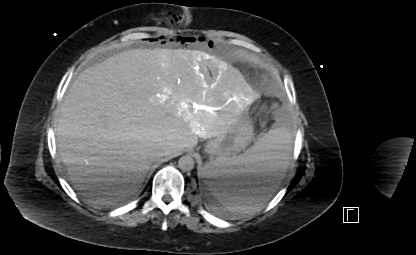
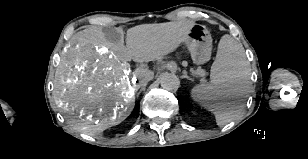
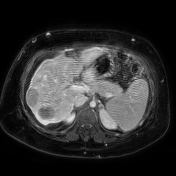
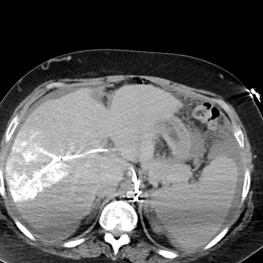
Case 3

20 F with PMH hypoplastic left heart s/p fenestrated Fontan procedure admitted for shortness of breath and hypoxia of uncear etiology.

145/58 mmHg / 78 bpm / 20 breaths/min / 97.6°F / 88% 6L

Faint expiratory wheezing in upper lungs, rhinorrhea, and congestion

AST 33, ALT 33, Alk Phos 222