Welcome to the IR Chalk Talk

Every needle stick, catheter, or wire can cause bleeding.

We need to balance thrombotic risk (why patient is anticoagulated) vs bleeding risk (from procedure)

Pre-Procedure Coagulation Labs: The Basics

Essential labs for most IR procedures (within 30 days unless acute change):

  • INR: assesses warfarin effect; target <1.5 for high-risk procedures

  • Platelet count: target >50k for high-risk procedures; >20k may be acceptable for low-risk

  • aPTT: for heparin monitoring; target <1.5x control for high-risk procedures

  • Fibrinogen: especially in cirrhosis; target >100 mg/dL for high-risk procedures

  • Creatinine: for DOAC dosing and clearance; affects hold times

Review

Common Anticoagulants: Warfarin

coumadin

Mechanism: inhibits vitamin K–dependent factors (II, VII, IX, X, proteins C and S)

Half‑life: 36-40 hours

Reversal: Vitamin K (oral/IV), FFP, PCC (4‑factor)

Common Anticoagulants: DOACs

apixaban, rivaroxaban, edoxaban, dabigatran

Mechanism: Direct factor Xa or IIa inhibitors

Half‑life: 5‑15 hours (renal dependent)

Reversal: Andexanet alfa (Xa), idarucizumab (dabigatran), or PCC 25-50 U/kg off‑label

Note: DOACs have shorter half-lives than warfarin, but renal impairment can prolong clearance

Antiplatelet Agents: Aspirin

aspirin

Mechanism: Irreversible COX inhibitor, inhibits platelet aggregation

Half-life: 7-10 days (platelet lifespan)

Reversal: Platelet transfusion may be considered, but evidence is limited and may not be effective

Antiplatelet Agents: P2Y12 Inhibitors

clopidogrel, prasugrel, ticagrelor

Mechanism: Inhibit ADP-mediated platelet activation

Half-life: clopidogrel/prasugrel 7-10 days, ticagrelor 3-5 days

Reversal: Platelet transfusion may be considered, but evidence is limited and may not be effective

Risk Stratification for IR Procedures

Low Bleeding Risk: e.g., paracentesis, thoracentesis, superficial biopsies

  • usually continue aspirin, INR <3.0, platelets >20k

High Bleeding Risk: e.g., liver biopsy, nephrostomy, arterial interventions

  • hold aspirin 5-7 days, INR <1.5, platelets >50k

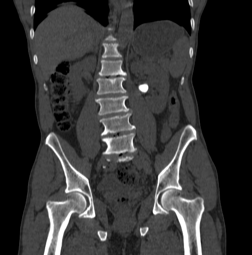
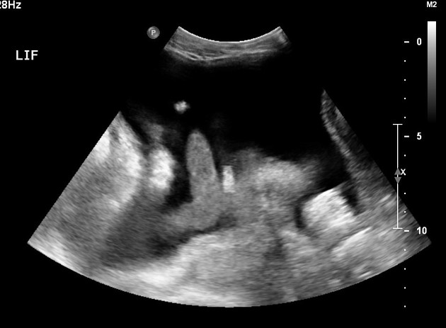
Case 1: Paracentesis in a Cirrhotic Patient

Scenario: 65-year-old with cirrhosis, tense ascites, INR 1.8, platelets 70. On no anticoagulants.

Case 1: Paracentesis in a Cirrhotic Patient

Scenario: 65-year-old with cirrhosis, tense ascites, INR 1.8, platelets 70. On no acticoagulants.

Plan: Proceed – paracentesis is low risk.

Evidence: SIR guidelines accept INR ≤ 2.5 and platelets ≥ 20k for low‑risk procedures. Recent NIH review confirms safety with mild-moderate coagulopathy.

Take‑home: Don’t delay therapeutic taps for mild coagulopathy. Use ultrasound guidance.

Case 2: Liver Biopsy on Warfarin

Scenario: 62F with hepatitis C, needs liver biopsy. On warfarin for AFib (CHADS2‑VASc 3). INR 2.8.

Case 2: Liver Biopsy on Warfarin

Scenario: 62F with hepatitis C, needs liver biopsy. On warfarin for AFib (CHADS2‑VASc 3). INR 2.8.

Plan: - Hold warfarin 5 days

  • Check INR <1.8 before biopsy

  • No bridging needed for AFib with moderate stroke risk

Evidence: SIR guidelines recommend holding warfarin for high‑risk procedures. Recent studies show low thrombotic risk with short-term interruption in AFib.

Take‑home: For high‑risk procedures, hold warfarin and confirm INR. Bridging often not needed for AFib.

Case 3: Nephrostomy on Apixaban

Scenario: 70M with obstructing stone, febrile, pyonephrosis. On apixaban for DVT (CrCl 40).

Case 3: Nephrostomy on Apixaban

Scenario: 70M with obstructing stone, febrile, pyonephrosis. On apixaban for DVT.

Plan: - Emergent nephrostomy needed

  • Hold apixaban, but proceed with procedure

  • Reversal options: Andexanet alfa (factor Xa inhibitor) or PCC if bleeding occurs

Evidence: SIR guidelines suggest holding DOACs for high‑risk procedures, but in emergencies, proceed with caution. Reversal agents can be considered if bleeding occurs.

Take‑home: In emergencies, prioritize patient stability. Hold DOACs if possible, but don’t delay critical interventions. Know your reversal options.

Correcting Coagulopathy: Agents

Vitamin K: for warfarin reversal, takes 6-12 hours

FFP: provides clotting factors, requires large volume, risk of transfusion reactions

PCC (4‑factor): concentrates factors II, VII, IX, X; rapid reversal of warfarin; off-label for DOACs

Andexanet alfa: specific reversal for factor Xa inhibitors; costly

Idarucizumab: specific reversal for dabigatran; rapid onset

Platelet transfusion: for antiplatelet agents, but evidence is limited and may not be effective

Cryoprecipitate: for fibrinogen replacement in cirrhosis, but evidence is limited

Tranexamic acid: antifibrinolytic, may be considered in bleeding, but evidence in IR is limited

Special Situations

Liver Cirrhosis: coagulopathy is complex; INR may not reflect bleeding risk; consider TEG/ROTEM if available; correction with FFP or cryoprecipitate may be considered for high-risk procedures

Renal Impairment: affects clearance of DOACs; may require longer hold times; consider hemodialysis for dabigatran if urgent reversal needed

Mechanical Heart Valves: high thrombotic risk; usually require bridging with heparin when holding warfarin; consult cardiology

Pediatric Patients: limited data; generally follow adult guidelines but consider age-specific factors and consult pediatric hematology + IR

When to Bridge? (and When Not To)

Bridging: using short-acting anticoagulants (e.g., LMWH) during warfarin interruption to reduce thrombotic risk

Indications for bridging:

  • Mechanical heart valves

  • Recent VTE (<3 months)

  • High CHADS2‑VASc score (≥5)

When not to bridge:

  • BRIDGE trial 1 showed increased bleeding without significant reduction in thrombotic events for AFib patients with moderate stroke risk (CHADS2‑VASc ≤4)

Works Cited

  1. Taylor, Jordan et al. “Anticoagulation and Antiplatelet Agents in Peripheral Arterial Interventions.” Seminars in interventional radiology vol. 39,4 364-372. 17 Nov. 2022, doi:10.1055/s-0042-1757314

  2. Patel, Rishi et al. “SIR Consensus Guidelines on Periprocedural Management of Thrombotic and Bleeding Risk in Patients Undergoing Percutaneous Image-Guided Interventions.” Journal of vascular and interventional radiology : JVIR vol. 30,9 (2019): 1432-1448.e19. doi:10.1016/j.jvir.2019.05.026

  3. Padua, Horacio et al. “Appendix to the Society of Interventional Radiology Consensus Guidelines for the Periprocedural Management of Thrombotic and Bleeding Risk in Patients Undergoing Percutaneous Image-Guided Interventions: Pediatric Considerations.” Journal of vascular and interventional radiology : JVIR vol. 33,11 (2022): 1424-1431. doi:10.1016/j.jvir.2022.07.006

  4. Douketis, James D et al. “Perioperative Bridging Anticoagulation in Patients with Atrial Fibrillation.” The New England journal of medicine vol. 373,9 (2015): 823-33. doi:10.1056/NEJMoa1501035